
Parodontitis-Therapie
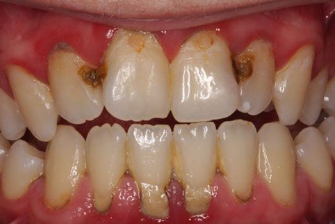
Parodontitis ist eine Entzündung, die das Fundament der Zähne, das sogenannte Parodont, befällt und im schlimmsten Fall zerstören kann.
Unter dem Parodont verstehen wir Zahnärzte den Knochen und das Zahnfleisch, mit dem die Zähne in Mund verankert sind.
Probleme treten dann auf, wenn das Gleichgewicht zwischen den Bakterien in den Zahnbelägen - dem Biofilm - und unserem Immunsystem in der Mundhöhle gestört ist. Dieser Biofilm muss regelmäßig entfernt werden. Am sichersten geht das durch gute häusliche Mundhygiene in Verbindung mit professionellen Zahneinigungen in unserer Praxis. Wird eine Parodontitis nicht behandelt, wandert die Entzündung an der Wurzel entlang in die Tiefe und zerstört den Zahnhalteapparat.
Es gilt das Prinzip:
„Ein sauberer Zahn wird nicht krank!“

Welche Warnsignale gibt es, die für Zahnfleischprobleme sprechen?
Achten Sie beim Putzen auf blutende Stellen. Auch Mundgeruch, Zahnlockerungen und Lückenbildung können Hinweise auf eine Parodontitis sein.
Risikofaktoren, die die Entstehung von Zahnfleischproblemen zusätzlich begünstigen, sind, neben zu viel Zahnbelag, vor allem das Rauchen, Stress und Diabetes.
Damit wir Patienten mit Zahnfleischproblemen nicht übersehen, führen wir in unserer Praxis mindestens einmal im Jahr im Rahmen der Kontrolluntersuchung einen speziellen Screeningtest durch. Dieser zeigt uns, ob und in welchem Umfang Behandlungsbedarf besteht. Sollte eine Erkrankung vorliegen, müssen weitere Befundunterlagen erstellt werden, damit eine entsprechende Behandlung eingeleitet werden kann.
Link: www.dgparo.de